皆様こんばんは! スタッフ一同です♬
本日ご来店のかわいいワンちゃん達のご紹介♥
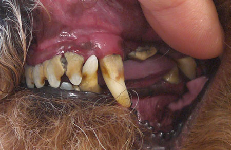
●パグのあんこちゃん
✨今日もたくさん抜けました✨
ゼオライト歯磨き前
ゼオライト歯磨き後
【美容・店内での様子(動画)】
マイクロバブル ![]()
店内での様子 ![]()
●プードルのレオンちゃん
【美容・店内での様子(動画)】
店内での様子 ![]()
●MIXのモカちゃん
ゼオライト歯磨き前
ゼオライト歯磨き後
【美容・店内での様子(動画)】
マイクロバブル ![]()
店内での様子 ![]()
●プードルのモコちゃん
ゼオライト歯磨き前
ゼオライト歯磨き後
【美容・店内での様子(動画)】
店内での様子 ![]()
●MIXのサランちゃん
ゼオライト歯磨き前
ゼオライト歯磨き後
【美容・店内での様子(動画)】
マイクロバブル ![]()
店内での様子 ![]()
●プードルのQooちゃん
【美容・店内での様子(動画)】
ハーブパック 
店内での様子 ![]()
|
カテゴリー:
山手店

















