皆様こんばんは! スタッフ一同です♬
本日ご来店のかわいいワンちゃん達のご紹介♥
●プードルのチョコちゃん
【美容・店内での様子(動画)】
店内での様子 ![]()
●シュナのADELEちゃん
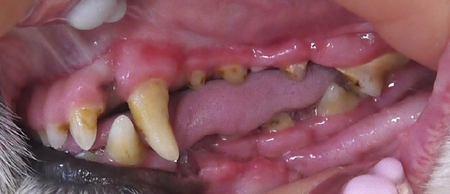
ゼオライト歯磨き前
ゼオライト歯磨き後
【美容・店内での様子(動画)】
マイクロバブル ![]()
店内での様子 ![]()
●キャバのサリュちゃん
ゼオライト歯磨き前
ゼオライト歯磨き後
【美容・店内での様子(動画)】
店内での様子 ![]()
●プードルポコちゃん
ゼオライト歯磨き前
ゼオライト歯磨き後
【美容・店内での様子(動画)】
店内での様子 ![]()
●プードルのベルちゃん
【美容・店内での様子(動画)】
店内での様子 ![]()
●プードルのPavarottyちゃん
ゼオライト歯磨き前
ゼオライト歯磨き後
【美容・店内での様子(動画)】
店内での様子 ![]()
|
カテゴリー:
山手店














