皆様こんばんは! スタッフ一同です♬
本日ご来店のかわいいワンちゃん達のご紹介♥
●MIXのティムちゃん
【美容・店内での様子(動画)】
店内での様子 ![]()
●プードルのコロンちゃん
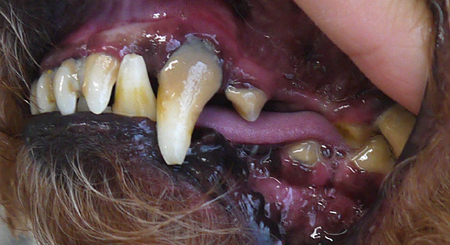
ゼオライト歯磨き前
ゼオライト歯磨き後
【美容・店内での様子(動画)】
店内での様子 ![]()
●プードルのショコラちゃん
ゼオライト歯磨き前
ゼオライト歯磨き後
【美容・店内での様子(動画)】
店内での様子 ![]()
●ビションのブランちゃん
【美容・店内での様子(動画)】
店内での様子 ![]()
●プードルのフォーちゃん
ゼオライト歯磨き前
ゼオライト歯磨き後
【美容・店内での様子(動画)】
店内での様子 ![]()
|
カテゴリー:
山手店












