皆様こんばんは! スタッフ一同です♬
本日ご来店のかわいいワンちゃん達のご紹介♥
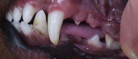
●プードルのモカちゃん
ゼオライト歯磨き前
ゼオライト歯磨き後
【美容・店内での様子(動画)】
マイクロバブル ![]()
ハーブパック 
店内での様子 ![]()
●プードルのシュガーちゃん
ゼオライト歯磨き前
ゼオライト歯磨き後
【美容・店内での様子(動画)】
ホイップアロマバス🌸
ローズモイスチャーパック💛
店内での様子 ![]()
●プードルのリアちゃん
【美容・店内での様子(動画)】
店内での様子 ![]()
●プードルのMUSASHIちゃん
【美容・店内での様子(動画)】
店内での様子 ![]()
●プードルのももこちゃん
ゼオライト歯磨き前
ゼオライト歯磨き後
ハーブパック 
【美容・店内での様子(動画)】
店内での様子 ![]()
●ヨーキーのモナコちゃん
ゼオライト歯磨き前
ゼオライト歯磨き後
【美容・店内での様子(動画)】
店内での様子 ![]()
|
カテゴリー:
山手店



















